Chi Siamo Lo Studio Terapie Prima e Dopo Recensioni Contatti
Studio Dentistico — Manfredonia, FG

Il sorriso che meriti davvero

Cure dentali di eccellenza con tecnologie all'avanguardia. Il Dr. Luigi di Bari e il suo team di specialisti ti accompagnano in ogni fase del percorso, con attenzione, precisione e rispetto per la tua persona.

Dr. Luigi di Bari - dentista e odontoiatra a Manfredonia
scroll
0
Anni di
Esperienza
0
Pazienti
Soddisfatti
0
Specialità
Cliniche
5★
Rating
Google
🎁 Prima visita sempre gratuita per nuovi pazienti — Prenota ora →
Dr. Luigi di Bari - dentista e odontoiatra a Manfredonia
25+Anni di
Esperienza

Il Nostro Studio

Dr. Luigi
di Bari

Medico Chirurgo Odontoiatra con oltre venticinque anni di esperienza clinica maturata nel territorio di Manfredonia e dintorni, il Dr. Luigi di Bari ha costruito nel corso degli anni una reputazione fondata su tre pilastri inscindibili: competenza scientifica, aggiornamento costante e relazione autentica con il paziente.

Lo studio di Manfredonia si distingue per l'ambiente moderno e accogliente, gli strumenti digitali di ultima generazione e la presenza di un team di specialisti esperti per ogni branca dell'odontoiatria. Qui ogni paziente è accolto come persona, non come pratica clinica: ascoltiamo, spieghiamo, consigliamo.

"Ogni paziente merita un approccio unico. Il mio obiettivo è restituire il sorriso con la stessa naturalezza con cui è stato perso."

Il Dr. di Bari si avvale abitualmente di collaboratori specialisti — ortodontisti, parodontologi, endodontisti — per garantire al paziente la migliore cura possibile in ogni situazione clinica, anche la più complessa.

  • Laurea in Odontoiatria e Protesi Dentale — Università degli Studi di Bari "Aldo Moro"
  • Specializzazione in implantologia avanzata e chirurgia orale
  • Membro della Società Italiana di Implantologia Osteointegrata (S.I.O.)
  • Formazione continua in tecniche All-on-4, implantologia guidata, odontoiatria estetica

Casi Clinici Documentati

Persone reali, risultati straordinari

Ogni caso documenta una storia di trasformazione verso la salute orale e il sorriso desiderato.

Implantologia Manfredonia - riabilitazione completa arcata superiore con impianti in titanio
Implantologia
01

Riabilitazione Completa su Arcata Superiore

6 impianti in titanio con protesi fissa in zirconia. Piena funzionalità masticatoria recuperata.

Estetica dentale Manfredonia - faccette in ceramica Hollywood Smile
Estetica Dentale
02

Faccette in Ceramica — Hollywood Smile

8 faccette ultrasottili su arcata superiore. Denti bianchi, simmetrici e perfettamente armonici.

Ortodonzia Manfredonia - allineatori invisibili correzione del morso
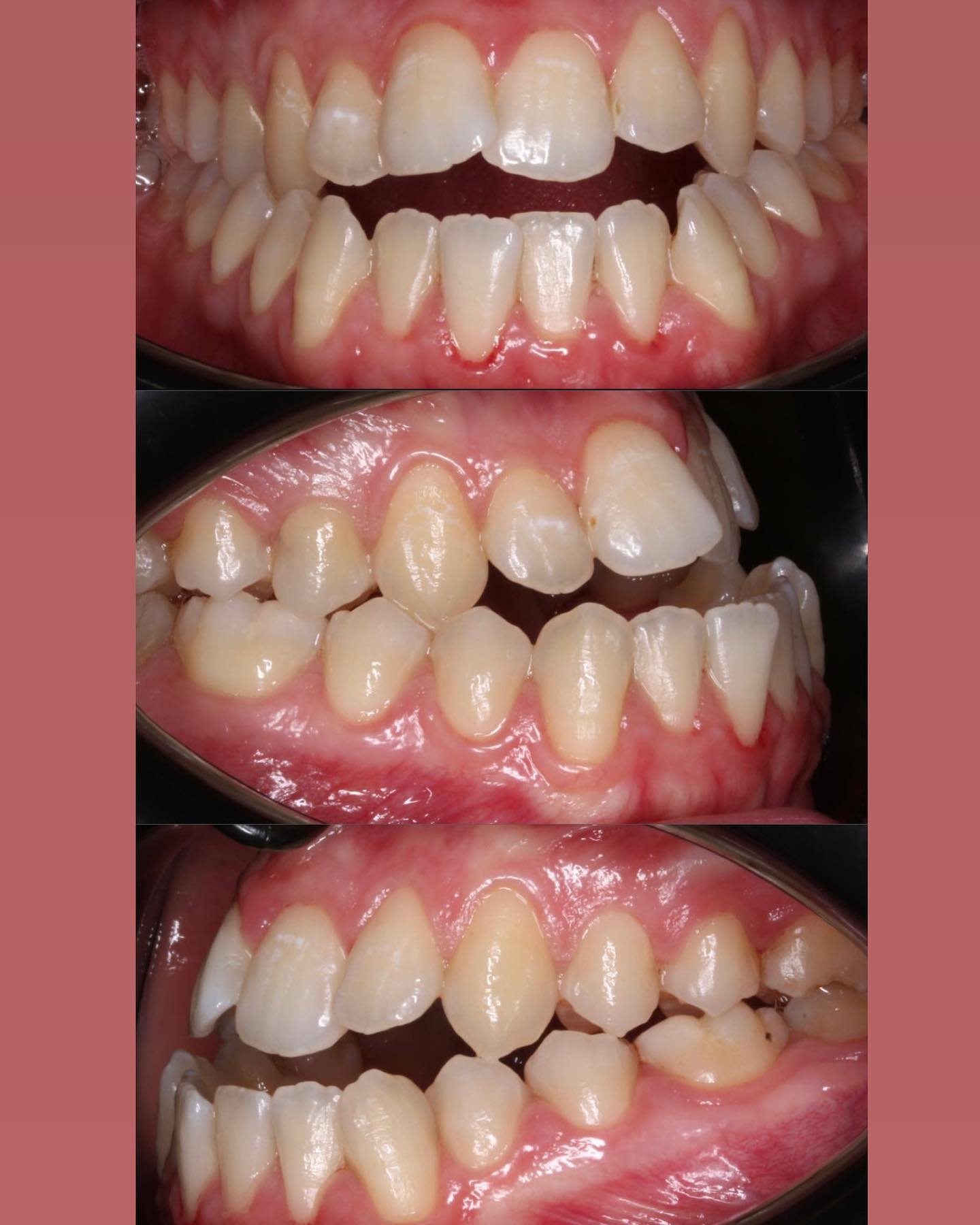
Ortodonzia
03

Allineatori Trasparenti — Correzione del Morso

14 mesi con allineatori invisibili. Arcate allineate e sollievo dai dolori articolari.

Il Tuo Percorso

Come funziona

Quattro passi semplici per tornare a sorridere — senza sorprese.

📞
Passo 1

Prenota

Chiama, scrivi su WhatsApp o compila il modulo. Ti risponderemo entro 24h.

🦷
Passo 2

Prima visita sempre gratuita

Sempre gratuita per i nuovi pazienti. Il dottore ti ascolta e valuta la situazione. Nessuna pressione, nessuna fretta.

📋
Passo 3

Piano di cura

Preventivo trasparente e personalizzato. Concordiamo tempi e modalità di pagamento.

Passo 4

Trattamento

Il percorso inizia con controlli programmati per risultati duraturi nel tempo.

Cosa dicono di noi

Recensioni dei Pazienti

★★★★★
5.0
Google Reviews
★★★★★

"Da anni mi affido al Dottor di Bari e non ho mai avuto un motivo per cambiare. Professionalità, precisione e un ambiente che mette immediatamente a proprio agio. I miei impianti sono perfetti dopo tre anni."

G
Giuseppe M.
Google · 2 settimane fa
★★★★★

"Ho fatto le faccette estetiche e sono rimasta senza parole. Il dottor Luigi di Bari è un artista. Lo staff è gentilissimo, il preventivo è stato chiaro fin dall'inizio. Il risultato supera ogni aspettativa!"

F
Francesca L.
Google · 1 mese fa
★★★★★

"Finalmente un dentista che ti spiega tutto senza fretta. Ho avuto paura per tutta la vita, ma in questo studio mi sono sentita accolta e rassicurata dal primo momento. Grazie infinite!"

M
Maria G.
Google · 3 settimane fa

Contatti

Prenota la tua Visita

Dove Siamo

Vieni a trovarci

📍
Indirizzo

Via Antonio Valente, 19F
71043 Manfredonia (FG) — Italia

🕐
Orari
Lun – Ven9:00 – 12:30 15:30 – 20:00 Sab – DomChiuso

Scrivici

Richiedi un appuntamento

Risponderemo entro 24 ore. I dati sono trattati nel rispetto del GDPR. Privacy Policy

Grazie!

La tua richiesta è stata ricevuta. Ti contatteremo al più presto.